Traumatic Injuries

dislodged-tooth-155x300

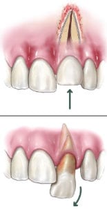
Injuries to the mouth can cause teeth to be fractured, pushed out of position, or knocked out of their socket.  Your dentist or endodontist may be able to reposition and stabilize the tooth, allowing it to heal.  After the trauma, you will most likely require close follow up by an endodontist.